Wat is er aan de hand bij klachten van de lopersknie?
Hoewel vroeger werd gedacht dat een lopersknie werd veroorzaakt door frictie van de grote peesplaat aan de zijkant van het bovenbeen rond de knie, is dat momenteel niet meer het idee (Hutchinson et al. Sports Med 2022). Waarschijnlijk is de reden van klachten dat er te veel compressie van de peesplaat (tractus iliotibialis) plaatsvindt net boven de zijkant van de knie. Door dit herhaaldelijk te veel samendrukken van de peesplaat ontstaat irritatie en ontsteking en er kan ook een overbelasting van de peesplaat ontstaan, leidend tot pijn. Ook het vetweefsel net onder de peesplaat, dat goed doorbloed is en veel zenuwtjes bevat, kan geïrriteerd raken door de compressie.

Bij een lopersknie ontstaat pijn aan de buitenzijde van de knie door irritatie van de peesplaat (tractus iliotibialis) boven de knie tijdens bewegen.
Geïllustreerd door Myrthe Boymans
Over deze aandoening
Hoe ontstaan klachten van de lopersknie?
Zoals de naam al doet vermoeden treden klachten vaak op bij hardlopen of andere vormen van bewegen waarbij rennen een rol speelt. Mensen vertellen geregeld dat ze meer zijn gaan rennen, sneller of anders zijn gaan lopen of dat de ondergrond anders werd. Ook als te vaak gerend wordt wanneer iemand al moe is, kan dit klachten uitlokken doordat moe rennen compressiekrachten van de peesplaat aan de zijkant van het bovenbeen vergroot (Chen et al. Bioengineering 2023). Wat meer voorovergebogen rennen leidt daarnaast sneller tot klachten van de lopersknie (Shen et al. Sports Biomech 2021). Ook hebben vrouwen en jongere mensen dit probleem gemakkelijker (Marais et al. Phys Sports Med 2024).

Zoals de naam “lopersknie” al doet vermoeden treden klachten vaak op bij hardlopen of andere vormen van bewegen waarbij rennen een rol speelt
Welke klachten geven klachten van de lopersknie?
Bij belasten en rennen wordt pijn gevoeld aan de zijkant van het bovenbeen net wat hoger dan de knie. De klacht kan ook wat hoger op de zijkant van het bovenbeen worden gevoeld. Klachten worden meestal na een tijdje inspannen pas gevoeld, maar kunnen bij ergere klachten ook al snel na de start van belasting optreden. Uitzonderlijk zijn er ook klachten aanwezig in rust.
Hoe herkent de specialist klachten van de lopersknie?
Het verhaal van iemand gecombineerd met lichamelijk onderzoek leidt bijna altijd tot de diagnose. Toch is het helaas niet zo eenvoudig dat iedereen met pijn aan de zijkant van de knie of het bovenbeen een lopersknie heeft. Andere redenen van klachten kunnen bijvoorbeeld zijn: een probleem van het kniegewricht, een peesoverbelasting van de patellapees of uitstralingspijn vanuit de rug. Als het lichamelijk onderzoek en de anamnese niet genoeg duidelijkheid geven, of als de klachten al lang duren, dan kan aanvullend onderzoek worden gedaan om een eventuele onderliggende reden van de klachten boven water te krijgen.
Aanvullend onderzoek
Röntgenfoto
Als wordt gedacht dat de klacht mogelijk komt door een oud trauma van de knie, of als er wordt gedacht aan een vormafwijking van de knie, bijvoorbeeld door artrose, leidend tot peesklachten, dan wordt een röntgenfoto van de knie gemaakt. Hiermee is de peesplaat zelf niet in beeld te brengen, dus deze foto wordt gebruikt om andere oorzaken van de klacht aan te tonen of uit te sluiten.
Echografie
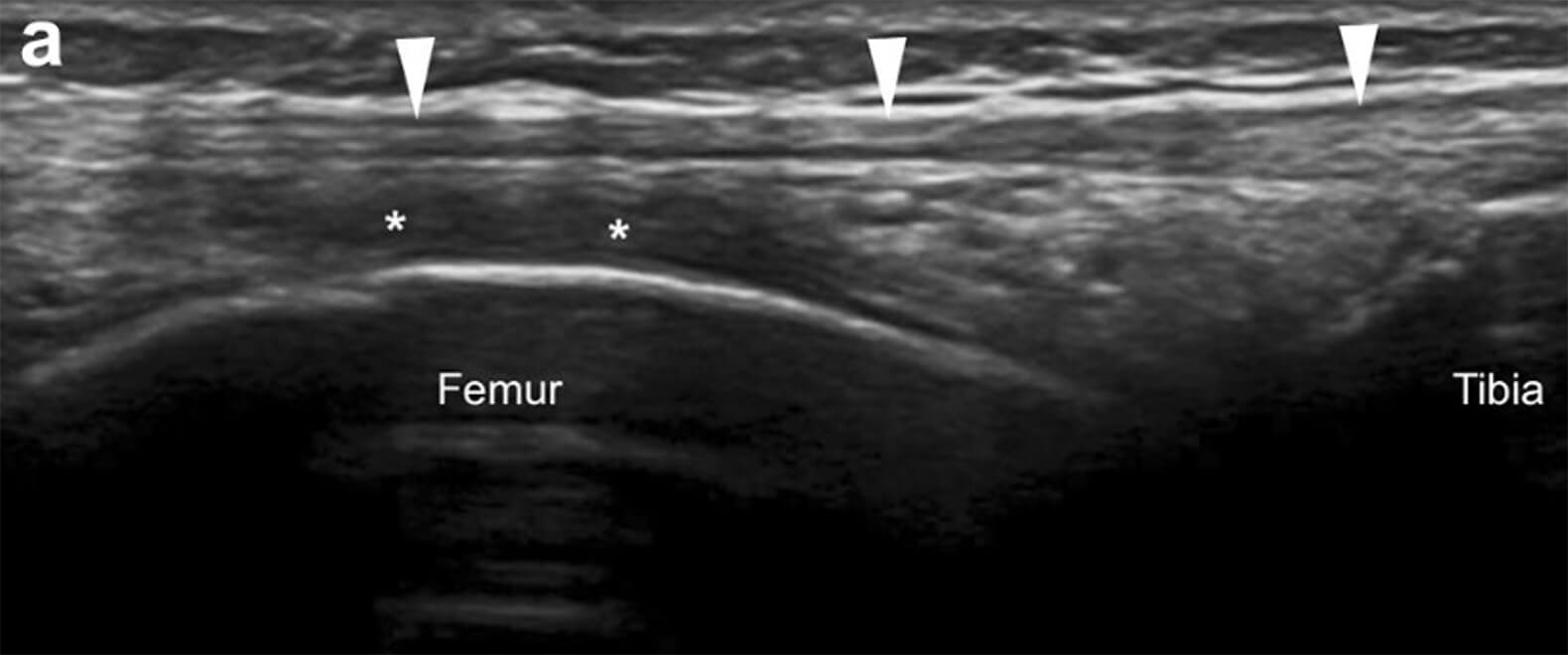
Met een echo is de dikte van de peesplaat aan de zijkant van de heup ter hoogte van de klachten te meten. Op deze locatie kan de peesplaat verdikt zijn. Ook is het mogelijk om vocht te zien net onder de peesplaat, wat met of zonder slijmbeurszwelling kan voorkomen. Een echo is ook nuttig als er twijfel is over de diagnose, want hiermee zijn ook andere oorzaken van de klachten in beeld te brengen.

Een blik met de echo op de zijkant van het bovenbeen rond de knie, waarbij de peesplaat met witte driehoekjes wordt aangegeven en het vocht onder de peesplaat met een * (Jimenez Diaz et al. J Ultrasound 2020).
MRI scan
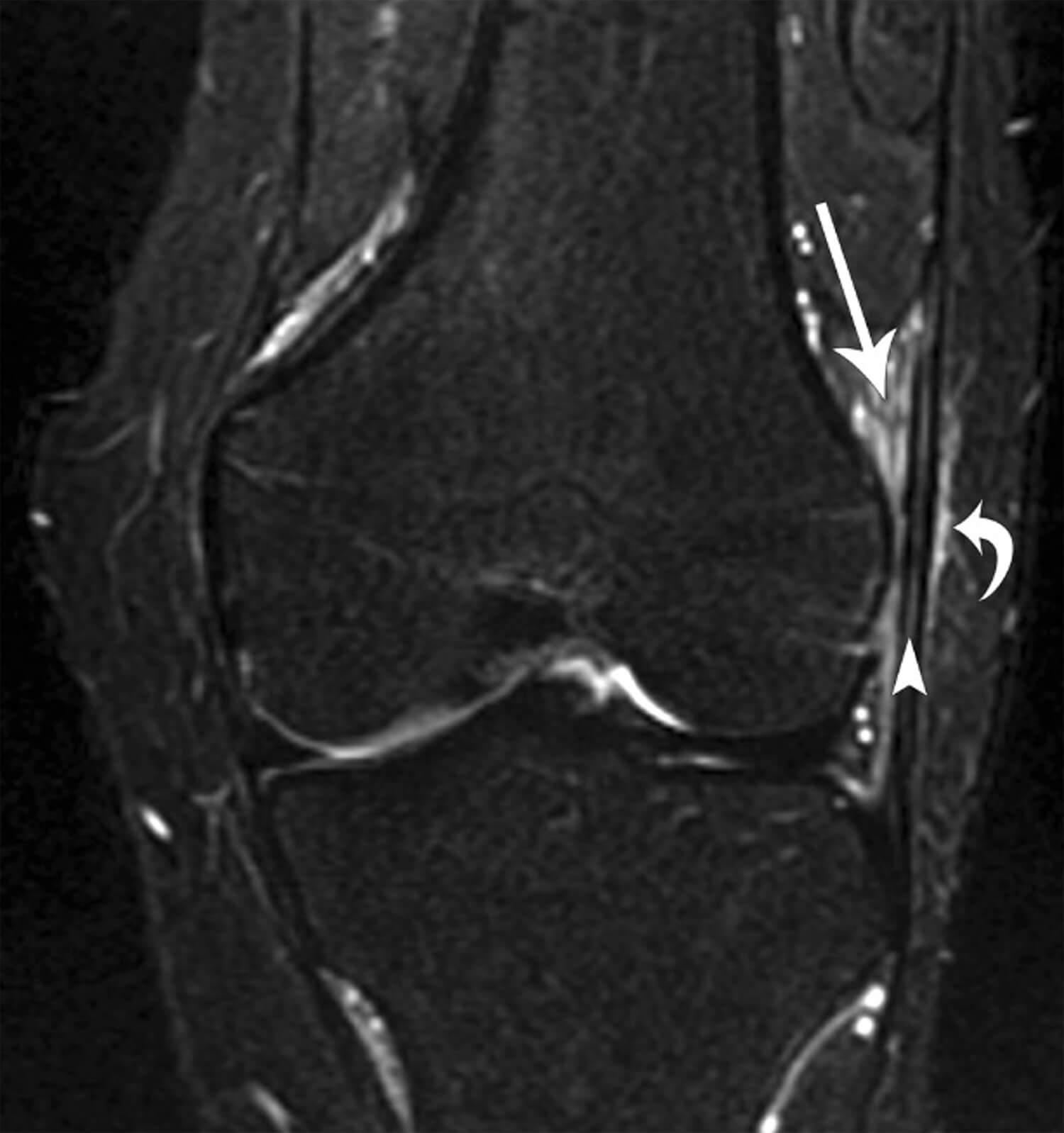
Ook een MRI kan de peesplaat, die verdacht wordt van klachten, in beeld brengen en beoordelen of er ergens in het bovenbeen of de knie een andere reden te vinden is voor de klachten. Belangrijk is dat niet altijd afwijkingen worden gevonden op een MRI. Deze scan kan ook puur worden gebruikt om andere redenen van de klachten uit te sluiten. Een klassiek plaatje van een MRI bij een lopersknie is dat de peesplaat verdikt is en er vocht of een slijmbeurs hieronder te zien is. Een voorbeeld hiervan zie je op het plaatje hieronder.

Een T2 opname van een MRI van de knie, waarbij de witte pijlpunt de verdikte peesplaat aan de zijkant van het bovenbeen rond de knie weergeeft en de rechte pijl en kromme pijl wijzen op vocht rond de peesplaat (Flato et al. Skelet Radiol 2017).
Welke behandelmogelijkheden zijn er voor klachten van een lopersknie?
Spanning verminderen van de heupspieren
Als de peesplaat aan de zijkant van het bovenbeen overprikkeld is, neemt vaak de spanning in spieren rond de heup toe. Dit kan juist weer zorgen voor extra compressie van de peesplaat. Het is dus verstandig om de spieren rondom de heup te helpen ontspannen. Het gaat hierbij vooral om de spieren van de bil en de spieren aan de voor- en zijkant van de heup. Dit kan gedaan worden door massage van deze spieren, foamrollen (een soort deegroller voor de spieren), door dry needling of door andere fysiotherapeutische technieken. Het toepassen van warmte op deze spieren (sauna, infraroodlamp) kan ook helpen. Het masseren van de peesplaat zelf is minder vanzelfsprekend, omdat hierbij juist ook weer gezorgd kan worden voor compressie van de peesplaat en het uitlokken van de klachten.
Een voorbeeld van hoe de spieren rondom de heup kunnen worden losgemaakt.
Oefentherapie
Het doel van oefentherapie is de spieren zo sterk te maken dat ze de krachten die met rennen / hardlopen gepaard gaan aankunnen en zo het bekken stabiel kunnen houden. Het niet stabiel kunnen houden leidt namelijk gemakkelijk tot extra stress op de peesplaat aan de zijkant van het bovenbeen. Echter, zwaardere vormen van training hebben juist kans op compressie van de peesplaat. Het gaat daarom bij oefentherapie meer om spieruithoudingsvermogen dan absolute kracht (Friede et al. Phys Ther Sport 2022). Het is aan te raden zeker 3x per week gedurende 8-12 weken de oefentherapie vol te houden om een stap voorwaarts te bemerken.
Voorbeelden van hoe je de heupspieren aan de voor- en zijkant van je heup kunt trainen.
Je kunt oefentherapie en rekken (zie onder) zelf thuis doen of met hulp van een (sport)fysiotherapeut bij jou in de buurt. Een overweging is een programma te volgen van kniepijnvrij.nl, een website waar we nauw mee samenwerken en inhoudelijk over meedenken. Mocht je dat willen dan tref je hieronder een link voor een uitgebreid herstelprogramma.
Rekken
Om de peesplaat net wat flexibeler te maken, zeker na oefentherapie, kan rekken een bijdrage hebben. Er zijn geen langdurige effecten van te verwachten, maar het kan wel verlichtend werken bij klachten of juist om de extra spanning die oefentherapie met zich meebrengt te verminderen. Zinvol rekken kan als volgt: 3x1 minuut onderstaande vormen toepassen, met een halve minuut rust ertussen.

Drie vormen van rekken (A, B en C) die de peesplaat kunnen verlengen. (Opara et al. J Funct Morphol Kinesiol 2023)
Shockwave
Voor veel langdurige peesklachten wordt overwogen naast oefentherapie en rekken eventueel ook shockwave te starten. Ook voor peesplaatklachten aan de zijkant van het bovenbeen is deze interventie onderzocht (Maghroori et al. Galen Med J 2022). In het kort stimuleert shockwave de peesplaat tot versterking en zorgt daarmee voor vermindering van pijn. Meer detail over hoe shockwave kan werken lees je hier.

Voorbeeld van shockwave therapie bij een lopersknie
Aanpassen looppatroon
Het lopen met wat kleinere stappen (10%) en het net wat wijder lopen qua voetenpositie (5%) leidt tot minder stress op de peesplaat aan de zijkant van de heup en daarmee tot minder pijnklachten (Meardon et al. Sports Biomech 2012), (Boyer et al. Am J Sports Med 2015). Je kunt zelf proberen dit aan te passen en gaan merken of dit je klachten verlicht. Natuurlijk kan je hierbij ook een looptrainer inschakelen. Je looppatroon wordt bij sterker worden van de heupspieren vaak ook wat anders, doordat dit leidt tot minder naar binnen bewegen van de heup en tot minder naar binnen draaien van het onderbeen.
Injecties
Als oefentherapie, rekken, shockwave en het aanpassen van het looppatroon niet voldoende effect hebben, kan een kortwerkende injectie met corticosteroïden worden overwogen. Dit is geen oplossing voor de lange termijn, maar kan de irritatie van en onder de peesplaat dusdanig verminderen dat de klachten tijdens oefentherapie / rekken doenbaar zijn en zo effect kunnen hebben. Voor de langere termijn zal er vrijwel altijd na een injectie weer teruggegrepen worden op de interventies die een lange termijn doel voor ogen hebben. Te verwachten is dat een injectie met corticosteroïden binnen twee weken na toepassing effect heeft (Gunter et al. Br J Sports Med 2004). De injectie wordt echogeleid toegepast waarbij je op je zij ligt. Bij een paar procent van de mensen kan na injectie de huid verkleuren (lichter worden), ten gevolge van de injectie.
Wetenschappelijke bronnen
- Hutchinson et al. Sports Med 2022
- Chen et al. Bioengineering 2023
- Shen et al. Sports Biomech 2021
- Marais et al. Phys Sports Med 2024
- Jimenez Diaz et al. J Ultrasound 2020
- Flato et al. Skelet Radiol 2017
- Friede et al. Phys Ther Sport 2022
- Opara et al. J Funct Morphol Kinesiol 2023
- Maghroori et al. Galen Med J 2022
- Meardon et al. Sports Biomech 2012
- Boyer et al. Am J Sports Med 2015
- Gunter et al. Br J Sports Med 2004


