Wat is er aan de hand bij klachten van het patellofemoraal pijnsyndroom (PFPS)?
De exacte reden van klachten bij het patellofemoraal pijnsyndroom (PFPS) is niet helemaal duidelijk. Het lijkt erop dat pijn ontstaat door hogere druk in het bot van het bovenbeen en de knieschijf. Sommigen zeggen dat hierdoor de doorbloeding bij bepaalde houdingen iets vermindert en dat hierdoor de klachten ontstaan. Niemand weet dit echter zeker. De vraag is waardoor deze hogere druk kan ontstaan, om dit uiteindelijk te kunnen gebruiken voor een behandelaanpak.

Bij patellofemoraal pijnsyndroom ontstaat pijn aan de voorkant van de knie, vaak door verhoogde druk tussen knieschijf en bovenbeen tijdens buigen en belasten.
Geïllustreerd door Karin Spijker
Over deze aandoening
Hoe ontstaan klachten van het PFPS?
De hogere druk kan door meerdere redenen komen. Ten eerste kan dit komen door fors gebruik van de knie. Dit komt nog vaker voor als er qua belasting snel is opgebouwd of dat er een andere vorm van belasting is gestart waar de knie (nog) niet aan gewend is.
Het kan ook zijn dat er een bouwvariant bestaat van de knie, waardoor de knieschijf niet goed in het gootje van de knie (trochea) beweegt en hierdoor klachten kunnen ontstaan. Zo kan het zijn dat de knieschijf te veel naar buiten is geplaatst, dat het gootje van de knie te ondiep is, of dat de knieschijf te hoog staat.
Ten derde kan het zijn dat bij PFPS de spieren van het bovenbeen te weinig sterk zijn, of dat er een disbalans is ontstaan in de kracht van de verschillende bovenbeenspieren en dat hierdoor veranderde druk achter de knieschijf is ontstaan. Deze redenen achter PFPS worden tijdens een consult bevraagd en er wordt eventueel onderzoek gedaan naar de status en positie van de knieschijf en het gootje achter de knieschijf. Ook kan het zijn dat er een krachttest wordt geadviseerd om de kracht van de bovenbeenspieren in kaart te brengen.
Welke klachten geven klachten van het PFPS?
PFPS komt met name voor bij mensen onder de 30 jaar, maar kan ook daarboven voorkomen. Hoe ouder iemand is die zich presenteert met klachten aan de voorkant van de knie, des te groter de kans is dat niet PFPS de reden van de klachten is, maar iets anders. In onderstaande grafiek is te zien dat de meeste mensen met PFPS tussen de 11 en 18 jaar zijn.

Het voorkomen van PFPS in de Nederlandse populatie volgens een onderzoek dat de gegevens van verschillende huisartspraktijken combineerde (van Leeuwen et al. Family Practise 2023).
Mensen met PFPS hebben vaak pijn aan de voorzijde of binnenzijde van de knie. Dit wordt met name gevoeld na een langere tijd staan, zitten met gebogen knieën en belasten met gebogen knieën. Ook wordt vaak genoemd dat traplopen naar beneden en/of naar boven de pijnklachten uitlokt.
Hoe herkent de specialist klachten van het PFPS?
Het verhaal in combinatie met lichamelijk onderzoek is vaak genoeg om de diagnose te kunnen stellen. Testen die dan worden uitgevoerd zijn squats waarbij de klacht wordt uitgelokt, drukpijn achter de knieschijf en het voorzichtig de knieschijf optillen (Nunes et al. Phys Ther Sport 2013). Toch zien we op onze poli juist mensen die al een tijd lang klachten hebben en al verschillende behandelvormen hebben geprobeerd. Dan is de stap naar verder onderzoek doen een kleine.
Met lichamelijk onderzoek wordt ook gekeken naar factoren die de klacht in stand kunnen houden, zoals de bewegelijkheid van de enkel, knie en heup (Szybist et al. Curr Sports Med Rep 2025).
Aanvullend onderzoek
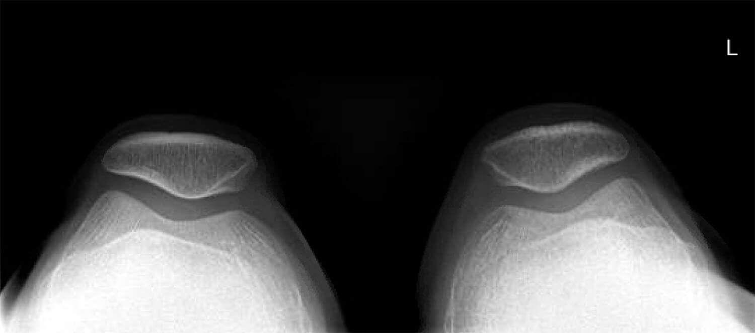
Röntgenfoto
Met een röntgenfoto wordt gekeken naar de positie van de knieschijf ten opzichte van het bovenbeen. Door middel van dit onderzoek kan onder andere bekeken worden of de knieschijf niet te hoog staat (patella alta) of dat de knieschijf niet te veel naar buiten staat.

Een röntgenfoto van de bovenzijde genomen met een normale afstand van de knieschijf tot het bovenbeen en een normale positie.

Deze röntgenfoto van de zijkant van de knie laat een normale positie van de knieschijf zien.
Echografie
Een echo van de knie wordt gemaakt als er gedacht wordt aan een andere reden van klachten van de knie dan PFPS. Er kan bijvoorbeeld ook sprake zijn van een peesklacht aan de onderzijde van de knieschijf. Ook kan een echo worden gemaakt om bandjes aan de zijkant van de knie (retinaculum) te beoordelen op dikte en beschadiging (Pacini et al. Diagnostics 2023). Als deze bandjes aangedaan zijn, is dit een teken dat er te veel krachten door deze bandjes moeten worden opgevangen.
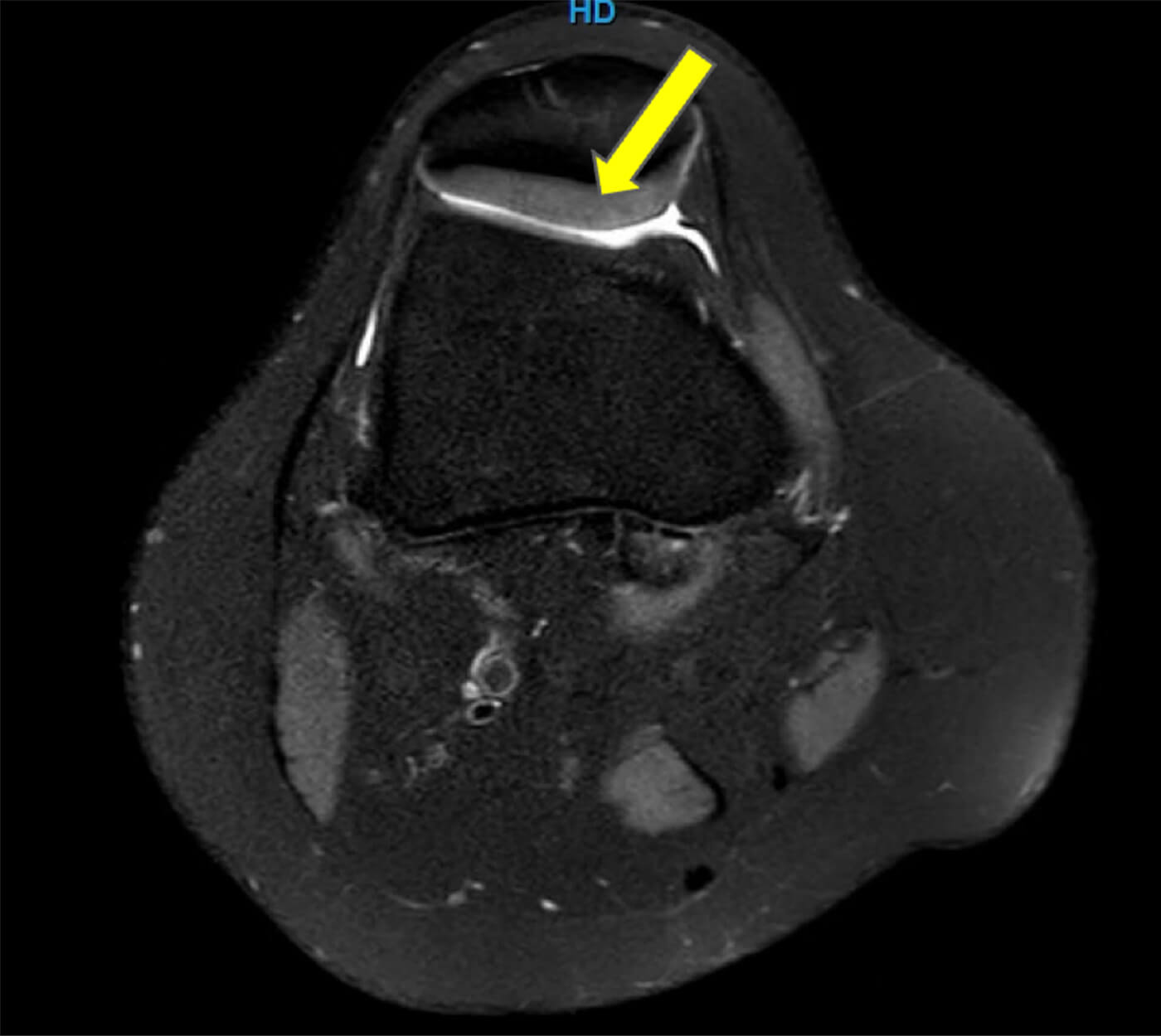
MRI scan
Het kan zijn dat de diagnose niet zo duidelijk is als je hoopt dat die is. Dan wordt geregeld een MRI-scan ingezet om het kraakbeen van de knieschijf, het binnenste van de knie, de bandjes rondom de knie en andere structuren te beoordelen. Het komt vaak voor dat een MRI van de knie bij iemand met PFPS niet afwijkend is. Dat is alleen maar prettig en betekent niet dat er niets aan de hand is. Wel betekent dit dat er geen structurele beschadiging aan de knie te zien is. Wel kan het nog steeds zo zijn dat er te veel druk achter de knieschijf bestaat en er een functieprobleem is opgetreden.

Een MRI-scan met bovenaanzicht van de knie (axiale opname) waarbij het kraakbeen achter de knieschijf (gele pijl) en de positie hiervan goed te beoordelen is.
Krachttest
Als onderdeel van de analyse wordt ook wel een krachttest gedaan, waarbij in detail de bovenbeenspieren worden gemeten. Ook wordt gekeken naar de kracht van de heupspieren. Deze krachttest kan onderdeel zijn van het lichamelijk onderzoek, maar geregeld wordt voor meer detail een aanvullende specifieke krachttest gedaan.

Voorbeeld van een isokinetische dynamometer (Cybex)
Welke behandelmogelijkheden zijn er voor klachten van het PFPS?
Oefentherapie
Te adviseren is zeker 12 weken oefentherapie van de bovenbeenspieren en de stabiliserende heupspieren te doen (Ophey et al. Knee Surg Sports Traumatol Arthrosc 2024). Trainen van de bovenbeenspieren versterkt de mogelijkheid van het controleren en het sturen van de knieschijf. Versterken van de heupspieren leidt tot minder naar binnen zakken van de knie bij belasten en daarmee tot minder druk achter de knieschijf. Naast versterken is ook te adviseren de mobiliteit van de knieschijf te optimaliseren en de bovenbeenspieren op rek te brengen. Advies over de oefentherapie kan door een (sport)fysiotherapeut worden gegeven. Ook kan je thuis zelf oefenen met onderstaand filmpje, het overzicht van oefeningen in de figuur hieronder en de link die hier beneden staat.
Een link naar een online trainingsprogramma vind je via de onderstaande knop:

Overzicht uit een artikel van (Song et al. Am J Sports Med 2023), waarbij een overzicht wordt gegeven van opbouw in zwaarte van de oefeningen voor het patellofemorale gewricht. Deze zijn voor de fysiotherapeut te gebruiken of voor uw eigen training thuis.
Tips voor oefentherapie
Voor oefeningen die je thuis of met een fysiotherapeut gaat doen geldt dat 2-3x per week trainen aan te raden is voor zeker een periode van 12 weken. Het is aan te raden de oefeningen in zwaarte steeds wat uit te bouwen, bijvoorbeeld met behulp van bovenstaande figuur. Zo worden de spieren steeds sterker en wordt de knie steeds meer uitgedaagd. Heb je echter tijdens of na het oefenen pijn (meer dan 4 à 5 op een pijnschaal van 0-10), dan was de belasting te zwaar en moet de training worden aangepast. Het is dan slim om minder zware oefeningen toe te passen of minder herhalingen te doen.
Manuele therapie
Dit is een behandeling die door fysiotherapeuten wordt toegepast die een extra opleiding manuele therapie hebben gevolgd en zo manueel therapeut zijn. Bij manuele therapie voor PFPS wordt vaak de lage rug losgemaakt om krachten over de twee SI-gewrichten (links en rechts van de onderrug) symmetrisch te verdelen. Ook kan manuele therapie rond de knie worden toegepast als de bewegelijkheid van de knieschijf minimaal is (Lin et al. Life 2024). Het is aan te raden manuele therapie toe te passen samen met oefentherapie.
Tapen
Door middel van tapen kan de knieschijf een andere positie krijgen zodat de druk achter de knieschijf anders wordt verdeeld. Er zijn verschillende tapetechnieken beschikbaar en ook verschillende soorten tape waarvan kinesiotape en stugger tape het meeste worden toegepast. Een voorbeeld van hoe te tapen wordt uitgelegd in het plaatje hieronder. Het is aan te raden (in het begin) dit door een fysiotherapeut te laten doen en minstens 4 weken toe te passen (Khan et al. J Man Manip Ther 2025).

Tapen bij PFPS volgens de McConnell methode (Sheenhan, Lower Extr Review 2010).
Zooltjes
Afhankelijk van de stand van de voeten is een zooltje te overwegen (Neal et al. JOSPT 2022). Het idee hierachter is dat als de voetenstand gering verandert dat dan de druk achter de knieschijf minder wordt en daarmee de pijnklacht ook. Als er een voetenstand bestaat waarbij de voet behoorlijk naar binnen beweegt bij belasten (pronatie), dan is de kans dat een zooltje effect gaat hebben het grootst.
Injecties
Botox injecties
Omdat er bij PFPS vaak een disbalans bestaat tussen de verschillende bovenbeenspieren en er hierdoor ‘scheef’ aan de knieschijf wordt getrokken, is balans terugbrengen in de bovenbeenspieren van belang. Dit wordt voornamelijk gedaan door het trainen van de bovenbeenspieren. Het idee is hierbij dat de bovenbeenspieren mediaal (grote teen kant) sterker moet worden ten opzichte van de laterale zijde (kleine teen kant) van de knie.
Als trainen niet leidt tot een voldoende resultaat dan zijn botox injecties in de bovenbeenspier lateraal een overweging (Pal et al. Journal Orthopaedic Research 2022), (Kesary et al. Knee Surg Rel Res 2021). Botox zorgt voor het minder sterk worden van de spieren lateraal zodat de knieschijf automatisch wat meer naar binnen wordt getrokken en zo de knieschijf aan de achterzijde wordt ontlast.
In combinatie met oefentherapie zijn injecties met botox een optie voor de lange termijn om de klachten te laten verminderen en liefst om deze te laten verdwijnen.


Injecties met botox in de vastus lateralis (spier aan buitenzijde van het bovenbeen) (Kesary et al. Knee Surg Rel Res 2021).
Wetenschappelijke bronnen
- van Leeuwen et al. Family Practice 2023
- Nunes et al. Phys Ther Sport 2013
- Szybist et al. Curr Sports Med Rep 2025
- Pacini et al. Diagnostics 2023
- Ophey et al. Knee Surg Sports Traumatol Arthrosc 2024
- Song et al. Am J Sports Med 2023
- Lin et al. Life 2024
- Khan et al. J Man Manip Ther 2025
- Neal et al. JOSPT 2022
- Pal et al. J Orthop Res 2023
- Kesary et al. Knee Surg Relat Res 2021


